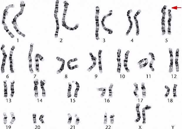
Partial monosomy
, or
segmental deletion
, is the loss of a section of a chromosome. An example is Cri-du-chat syndrome (
46, –5p
), caused by the loss of a small part of the short ("
petite
", or "
p
") arm of chromosome 5.