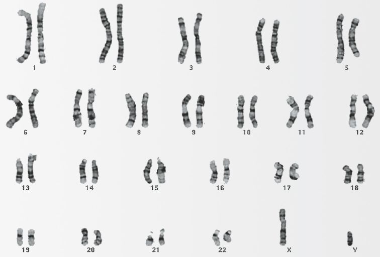
If mitotic chromosomes are treated with the proteolytic enzyme trypsin followed by Giemsa staining, a G-banding pattern emerges that can be used to identify chromosomes and chromosomal mutations.